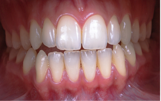
Um nutriente amplamente presente no tomate pode desempenhar um papel importante na prevenção de doenças gengivais graves em adultos mais velhos. Um grande estudo realizado nos Estados Unidos sugere que a ingestão insuficiente de licopeno — antioxidante responsável pela coloração vermelha do tomate — está associada a um aumento significativo do risco de periodontite grave.
- Estudo relaciona doenças bucais e impacto no esporte
- Conheça os cursos disponíveis na Dental Press para 2026
A pesquisa analisou adultos com idades entre 65 e 79 anos e mostrou que idosos com consumo adequado de licopeno apresentaram cerca de um terço do risco de desenvolver periodontite grave em comparação com aqueles que não atingiam os níveis recomendados. As conclusões foram publicadas na revista científica The Journal of Nutrition, Health and Aging.
O estudo foi liderado por Katherine Kwong, do Departamento de Desenvolvimento Humano do Connecticut College, em parceria com pesquisadores da Universidade de Tulane, da Universidade da Califórnia em San Diego, da Universidade de Yunnan, da Universidade do Sul de Illinois e do Centro de Ciências da Saúde da Universidade Estadual do Louisiana.
Para chegar aos resultados, os cientistas avaliaram dados de 1.227 participantes do National Health and Nutrition Examination Survey (NHANES), coletados entre 2009 e 2014. A análise revelou que 48,7% dos idosos apresentavam sinais de periodontite, enquanto 77,9% não consumiam licopeno em quantidade suficiente.
O licopeno é um carotenoide encontrado principalmente no tomate e em outros alimentos de coloração vermelha, sendo reconhecido por suas propriedades antioxidantes.
Mesmo após o ajuste para fatores como idade, sexo, raça, tabagismo e escolaridade, os pesquisadores identificaram uma associação consistente entre a ingestão de licopeno e a saúde das gengivas. Os idosos que alcançaram os níveis adequados do nutriente apresentaram uma redução expressiva na probabilidade de periodontite grave.
O estudo também evidenciou diferenças importantes entre grupos populacionais. A periodontite grave foi mais frequente entre homens e adultos negros não hispânicos. As mulheres, por outro lado, apresentaram menor risco da doença em comparação aos homens.
Entre adultos brancos não hispânicos, tanto o consumo adequado de licopeno quanto o sexo feminino estiveram associados à redução do risco. Já entre adultos negros não hispânicos, essa associação protetora com o licopeno não foi observada, sugerindo padrões distintos de risco.
O que os estudos indicam?
Segundo os autores, os achados sugerem que o licopeno na dieta pode ser um fator modificável relevante na prevenção de doenças gengivais graves em adultos mais velhos. No entanto, eles ressaltam que o estudo tem caráter transversal, o que impede estabelecer uma relação direta de causa e efeito entre a baixa ingestão do nutriente e o desenvolvimento da periodontite.
Os pesquisadores também chamam atenção para as desigualdades raciais e de gênero na saúde periodontal e defendem que futuras estratégias de prevenção considerem essas diferenças. Estudos controlados e de longo prazo ainda são necessários para confirmar se o aumento da ingestão de licopeno pode, de fato, reduzir o risco ou retardar a progressão das doenças gengivais graves.

