Vantagens do planejamento prévio preciso e da implantologia guiada
Usando diagnósticos digitais e ferramentas de planejamento virtual, os conceitos de restauração imediata de implantes dentários agora podem ser implementados com alta precisão e previsibilidade. Fluxos de trabalho digitais consistentes e uma interface estável entre o planejamento cirúrgico e protético são relevantes aqui. Isso é possível graças às soluções de software exoplan, DentalCAD e Smile Creator da exocad. O caso da paciente Monique, do Dr. Jan Erik Jansohn, M.Sc., Düsseldorf, mostra uma restauração de implante imediata minimamente invasiva usando as ferramentas de software da exocad.
Você começou na implantodontia usando tecnologia analógica. Como a “sua” implantodontia mudou com o avanço da digitalização?
Dr. Jan Erik Jansohn: O tempo real de cirurgia para o tratamento com implantes tem sido reduzido cada vez mais nos últimos anos devido à crescente integração das ferramentas de planejamento digital. Por outro lado, o planejamento pré-operatório está se tornando cada vez mais importante. Em geral, a implantodontia está mudando da implantação convencional à mão livre para uma abordagem guiada, mais minimamente invasiva e de alta precisão. Isso requer o uso de guias cirúrgicos, com a ajuda dos quais as informações do pré-planejamento protético e cirúrgico virtual podem ser implementadas no intraoperatório. Esse desenvolvimento oferece várias vantagens tanto para os pacientes quanto para os profissionais e, na minha opinião, transformou positivamente a rotina diária dos implantodontistas.
A que vantagens específicas você está se referindo?
Dr. Jansohn: A digitalização muda fundamentalmente a maneira como um implantodontista trabalha: Se eu trabalhar digitalmente, estarei menos preso a um local específico. O planejamento digital pode ser feito praticamente de qualquer lugar. Por exemplo, gosto de planejar meus casos em casa, sentado no sofá. Além disso, há benefícios claros para a saúde: Como dentistas cirúrgicos, geralmente passamos várias horas por dia em posturas não fisiológicas e, portanto, não saudáveis. Com o passar dos anos, isso tem um impacto negativo em nossa saúde física, o que se reflete na alta prevalência de distúrbios musculoesqueléticos em nossa profissão. Procedimentos cirúrgicos mais curtos contribuem significativamente para a preservação a longo prazo do bem-estar físico e mental.
Os principais benefícios para os pacientes são a maior precisão, segurança e previsibilidade do resultado do tratamento, a invasividade geralmente muito menor e o tempo cirúrgico mais curto. Portanto, os fluxos de trabalho digitais aumentam a aceitação dos conceitos de tratamento implantológico e os tornam muito mais confortáveis para nossos pacientes.
As vantagens para os pacientes são uma boa palavra-chave. O que isso significa em termos concretos?
Dr. Jansohn: Os conceitos digitais aumentam a confiabilidade dos resultados estéticos na odontologia. Casos de tratamento extensos e complexos na zona estética, em particular, se beneficiam do fluxo de trabalho digital. Se possível, a implantação imediata é minha abordagem preferida na zona estética. O planejamento digital com colocação de implantes guiada tornou-se indispensável aqui. Reabilitações complexas com restaurações total ou parcialmente implantossuportadas também podem ser implementadas com segurança usando a implantação guiada, seguindo uma abordagem de planejamento de caso digital com base no planejamento retroativo. Atualmente, trabalho predominantemente com pré-planejamento estético virtual e, na maioria dos casos, uso guias cirúrgicas para a colocação de implantes. Como regra geral, o esforço de planejamento necessário para o dentista é geralmente bem equilibrado em relação ao benefício para o paciente, especialmente quando se trabalha com um técnico em prótese dentária digitalmente qualificado.
Falando em técnicos em odontologia, o que é crucial na colaboração digital?
Dr. Jansohn: Como cirurgião, é essencial trabalhar em estreita colaboração com um técnico em prótese dentária com quem você possa planejar e implementar o caso, desde o planejamento virtual do implante até a prótese final. A colaboração ideal entre o técnico em prótese dentária e o dentista é fundamental, especialmente em fluxos de trabalho digitais, para otimizar a eficiência do tratamento e a previsibilidade dos resultados estéticos.
Como você colabora pessoalmente com seu técnico em prótese dentária?
Dr. Jansohn: Nossa colaboração se transformou em uma amizade ao longo dos anos, pois nos conhecemos há muito tempo e temos aperfeiçoado continuamente nosso fluxo de trabalho juntos. Geralmente planejamos on-line e ao vivo no software de planejamento de implantes exoplan da exocad.
Que conselho você daria aos iniciantes em implantodontia oral em relação aos fluxos de trabalho digitais?
Dr. Jansohn: Como a tendência está mudando cada vez mais para conceitos de tratamento digital e guiado, é essencial que você tenha uma sólida compreensão dos fundamentos cirúrgicos da implantodontia. Dominar o gerenciamento de complicações e ter um plano de backup são habilidades cruciais. Ao trabalhar digitalmente, devemos sempre estar cientes de que, como cirurgiões, somos responsáveis por nossos pacientes − essa responsabilidade não pode ser entregue a um software.
Olhando para o futuro: Qual é a sua previsão para o desenvolvimento da implantodontia digital na prática?
Dr. Jansohn: Cada vez mais dentistas e cirurgiões orais com experiência em implantodontia desejarão se envolver no planejamento virtual de implantes. Portanto, o planejamento de implantes se tornará cada vez mais comum nos consultórios odontológicos. O software exoplan é tão fácil de usar que os cirurgiões podem planejar rapidamente casos simples por conta própria, e os casos complexos ainda podem ser realizados em estreita colaboração com o técnico em prótese dentária.
Debate de caso clínico
O Dr. Jan Erik Jansohn, M.Sc., de Düsseldorf, demonstra as vantagens do pré-planejamento digital com colocação guiada de implantes para conceitos de restauração imediata minimamente invasiva usando o estudo de caso da paciente Monique. A paciente foi submetida à restauração de uma situação de extremidade livre na maxila direita do 13 ao 17, usando três implantes com implantação guiada e restauração imediata por meio de uma ponte provisória fixa de longo prazo implantossuportada.
Situação inicial
A paciente Monique, de 72 anos, apresentou-se com uma situação clássica de extremidade livre do 14 ao 17. Sua principal solicitação era o fechamento rápido e fixo do espaço esteticamente comprometido (Fig. 1). Devido a uma doença autoimune (síndrome de Sjögren), sua produção de saliva era limitada, o que reduzia a inibição natural do crescimento bacteriano oral pelo corpo e aumentava o risco de complicações na cicatrização de feridas. A paciente estava ciente desse fato e, portanto, solicitou explicitamente um procedimento cirúrgico minimamente invasivo que evitasse medidas complexas de aumento.


Opções de diagnóstico e tratamento
Durante a primeira consulta, a paciente foi fotografado em nosso estúdio fotográfico. As imagens 2D (Fig. 2) foram necessárias para o planejamento protético com o Smile Creator (exocad).

(Fonte: Dr. Jan Erik Jansohn)
O diagnóstico padrão com escaneamento intraoral e CTCB (Fig. 3 escaner intraoral e Fig. 4 CTCB) mostrou disponibilidade óssea reduzida nas regiões 15 a 17, mas suficiente para a colocação imediata do implante. O dente 13, restaurado endodonticamente, apresentava uma obturação radicular que se estendia claramente além do ápice, juntamente com periodontite periapical. Em consulta com o paciente, foi decidido remover o dente.

(Fonte: Dr. Jan Erik Jansohn)

(Fonte: Dr. Jan Erik Jansohn)
A paciente havia recebido anteriormente uma proposta de tratamento de outro dentista, que incluía uma elevação do seio maxilar pela técnica de abertura lateral do seio, com aumento do rebordo lateral alveolar como parte do plano de tratamento da maxila direita. Entretanto, esse plano não atendia ao desejo do paciente de uma restauração fixa minimamente invasiva. Uma restauração protética removível não era uma opção para a paciente. Juntamente com a paciente, definimos a meta de obter uma restauração temporária imediata, embora inicialmente de longo prazo, da função e da estética em um único procedimento minimamente invasivo.
Planejamento
A primeira etapa foi visualizar o resultado protético final usando o Smile Creator. Isso permitiu que o resultado estético fosse coordenado com o paciente desde o início.
O planejamento digital das posições ideais dos implantes em 3D, tanto do ponto de vista cirúrgico quanto protético, foi realizado usando o software de planejamento de implantes exoplan (exocad), com base em dados escaneados de CTCB e intraorais. O desafio era planejar a colocação imediata do implante na região 13 ao lado de dois implantes adicionais, garantindo a utilização ideal do osso disponível em termos de estabilidade primária suficiente para carga imediata por meio de uma restauração imediata provisória de longo prazo com uma ponte implantossuportada. Um implante (comprimento 10 mm, diâmetro 3,3 mm) foi posicionado exatamente na frente do seio maxilar na região 15 e o segundo implante (comprimento 8 mm, diâmetro 4,1 mm) foi planejado na região 17 (Fig. 6). As atenções do software e as indicações de distância de segurança foram particularmente úteis nesse processo.

(Fonte: exocad)
O dente canino, considerado não restaurável, deveria ser extraído e um implante (comprimento de 12 mm, largura de 4,1 mm) colocado um implante imediatamente na região do dente 13. Uma guia cirúrgica implantossuportada foi projetada no exoplan / Guide Creator (Fig. 7) para garantir a colocação precisa do implante durante a cirurgia. Dado o planejamento da colocação imediata do implante após a extração do dente 13 e a restauração imediata, foram escolhidos implantes cônicos ao nível do osso com um design de rosca de implante agressivo (SL Active, Straumann Group) para alcançar a alta estabilidade primária necessária. Após o planejamento, a restauração provisória de longo prazo foi projetada no DentalCAD usando o Immediate Load (Fig. 8).

(Fonte: exocad)

(Fonte: exocad)
Intervenção cirúrgica
A guia cirúrgica e a restauração provisória pré-fabricada em PMMA (Fig. 9) estavam prontas para a consulta cirúrgica. Sob anestesia local, o dente 13 foi primeiramente extraído atraumaticamente (Fig. 10), depois a guia cirúrgica foi posicionada (Fig. 11) e o implante foi inserido na região 13. O espaço para o implante foi preenchido com lascas de osso obtidas durante a preparação do alvéolo cirúrgico. Em seguida, foi feito o aumento do tecido mole vestibular com um enxerto de tecido conjuntivo do palato.

(Fonte: Dr. Jan Erik Jansohn)

(Fonte: exocad)

(Fonte: Dr. Jan Erik Jansohn)
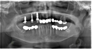
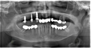
Os dois implantes adicionais na região do molar foram inseridos sem retalho após a perfuração da gengiva. Usando a guia cirúrgica, eles puderam ser inseridos bicorticalmente exatamente como planejado digitalmente, garantindo a utilização ideal do osso (Fig. 12 e Fig. 13) e alcançando uma alta estabilidade primária de 40 Ncm. O procedimento cirúrgico em si durou 30 minutos.

(Fonte: Dr. Jan Erik Jansohn)

(Fonte: Dr. Jan Erik Jansohn)
A restauração provisória de longo prazo, uma ponte fresada de cinco unidades feita de resina de alto desempenho com base em PMMA, foi primeiramente verificada quanto ao ajuste e foi fixada aos implantes sem a necessidade de ajustes individuais (Fig. 14). A precisão do fluxo de trabalho digital foi refletida no ajuste exato da restauração provisória.

(Fonte: Dr. Jan Erik Jansohn)
Após um tempo total de tratamento de cerca de 90 minutos, a paciente saiu do consultório sem dor e com os dentes fixos (Fig. 15). Como medida profilática, foram prescritos um analgésico e um antibiótico. Ela também foi aconselhada a favorecer o lado esquerdo da arcada ao mastigar durante o primeiro mês após a cirurgia. No entanto, ela pôde usar a ponte provisória de longo prazo implantossuportada desde o primeiro dia.

(Fonte: exocad)
Resultados e satisfação do paciente
O processo de cicatrização da ferida ocorreu sem intercorrências. Quatro meses após a colocação do implante, foram feitos escaneamentos intraorais e a ponte permanente foi projetada no DentalCAD com base nos dados escaneados, usando o projeto original no início do tratamento.
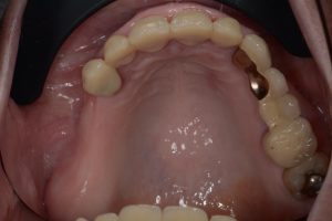
Em sua quarta visita ao consultório, cerca de cinco meses após a cirurgia, a paciente recebeu a ponte permanente. Ela estava muito satisfeita com seus novos dentes, tanto do ponto de vista estético quanto funcional. As restaurações protéticas de zircônio combinam harmoniosamente com a dentição natural restante da arcada superior da paciente (Fig. 16). A paciente ficou particularmente satisfeita com o procedimento minimamente invasivo, pois não sentiu dor nem inchaço em nenhum estágio do tratamento.

(Fonte: Dr. Jan Erik Jansohn)
Conclusão
O uso de imagens de CTCB e escaneamentos intraorais em conjunto com um software de planejamento adequado, como o exoplan, possibilita a visualização pré-operatória precisa da situação óssea do paciente e permite uma comparação das opções cirurgicamente possíveis com os desejos do paciente. O caso exemplifica como uma abordagem digital com planejamento de implante virtual e subsequente colocação de implante guiada pode levar a resultados confiáveis e altamente precisos em um procedimento minimamente invasivo para uma determinada indicação. Nesse caso, só foi possível obter uma restauração implantológica imediata usando um procedimento fechado sem exposição extensa do osso graças ao pré-planejamento virtual preciso e à implementação usando a colocação guiada de implantes. A abordagem minimamente invasiva resultou em uma experiência pós-operatória significativamente mais confortável para o paciente, livre de dor e inchaço. Dois aspectos em particular são cruciais para o sucesso de casos que envolvem a colocação e restauração imediata de implantes: O fluxo de trabalho digital, desde o planejamento virtual do implante e o desenho da guia cirúrgica até o desenho das próteses provisórias e permanentes, deve poder ser implementado com precisão e confiabilidade. Isso significa que a interface entre o planejamento cirúrgico e odontológico desempenha um papel fundamental, o que é facilitado por softwares como exoplan, DentalCAD e Smile Creator . Além disso, a colaboração com um técnico em prótese dentária que entenda o planejamento virtual de restaurações imediatas é essencial.
Em geral, o caso demonstra que o sucesso do tratamento em termos de estética, função e conforto do paciente pode ser obtido de forma previsível, eficiente e segura usando conceitos de implante virtual guiado planejado em 3D.
Você encontrará a documentação em vídeo desse caso AQUI.
Sobre o Dr. Jan Erik Jansohn, M.Sc.

Estudou odontologia em Erlangen, Alemanha. Ele concluiu seu treinamento como dentista especialista em cirurgia oral com o Prof. Dr. Fouad Khoury, em Olsberg. Dr. Fouad Khoury, Olsberg. Ele também tem mestrado em “Implantologia e Cirurgia Odontológica”.
Ele faz parte da equipe da Dental Specialists em Düsseldorf, Alemanha, desde 2017. Ele é especializado em cirurgia oral, implantologia e periodontia. Seu foco é a reabilitação implantológica extensiva da arcada completa.

