Por: Alberto Consolaro
A pessoa nem percebe ou sabe que tem um aumento no centro do palato ou na parte interna da mandíbula. À medida que chega adolescência, começa a fase adulta e como parte do crescimento normal, em algumas pessoas, vai aparecendo estes aumentos ósseos que param de crescer junto com o organismo.
Quando se compara as partes internas da boca com as de outras, ou quando a pessoa vai ao consultório, o profissional fala que tem um Toro Palatino ou Toros Mandibulares, isto preocupa o paciente que precisa de informações seguras.
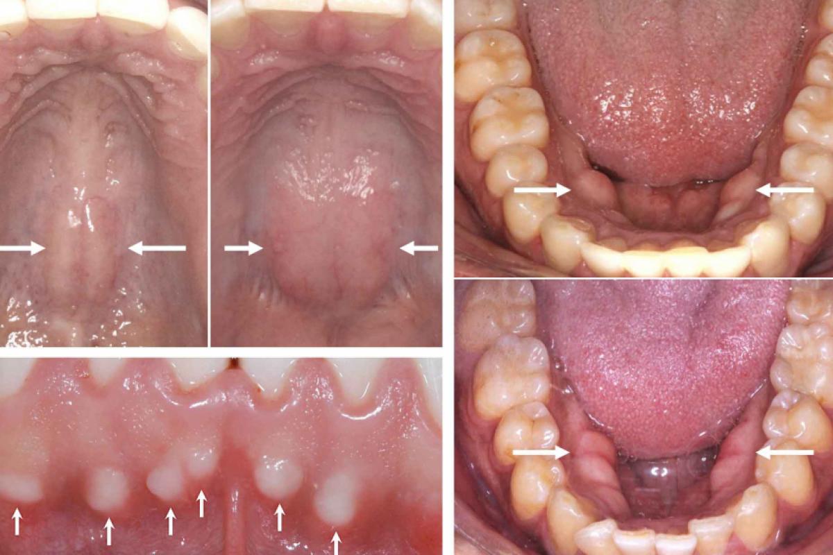
Estes crescimentos limitados para fora da superfície óssea normal ou exostoses, são também conhecidas como Toros e existem várias outras partes do corpo que tem estruturas chamadas de Toros. O Toro Palatino e os Toros Mandibulares são muito comuns, chegando a 25% em certas populações.
CAUSA E CUIDADOS
Os Toros são distúrbios do desenvolvimento geneticamente determinados para aparecerem na fase final do crescimento humano. Não necessariamente são hereditários, mas tem casos em que se apresentam em vários membros da família. Pode se até dizer que, são variações da normalidade no palato ou na parte interna da mandíbula.
Os Toros não requerem tratamento cirúrgico, mas sim cuidados específicos como:
1. Alimentos muito duros ao passar por eles, podem ulcerá-los, pois a mucosa que os recobrem são extremamente delicadas e finas. O paciente deve ser orientado para, ao ingerir alimentos muito duros como carnes e pipocas, evitar pressionar a exostose.
2. O profissional já sabe, mas o paciente deve lembrar que onde tem Toros, se passar acrílicos de próteses removíveis, dentaduras, partes de aparelhos ortodônticos expansores ou barras metálicas, quase que imediatamente ulcera e fica muito doloroso. Se precisar passar estes objetos na região do Toro, o melhor é remover cirurgicamente, para depois se fazer o procedimento requerido.
O bruxismo e o apertamento dentário muito comuns nos dias de hoje, coloca uma sobrecarga oclusal muito grande nos dentes, mas isto não tem nada a ver com o aparecimento dos Toros. Em alguns grupos populacionais, os Toros são encontrados em metade das pessoas, como nos esquimós. Afirmar que os Toros advém da carga oclusal não tem fundamentação científica, e se remover a sobrecarga oclusal, eles não desaparecerão, nem mesmo se o paciente ficar desdentado por alguma razão.
IMPORTANTE
Na linha média do palato duro, o Toro tem superfície lisa, podendo ser lobulado. O tamanho varia desde muito pequeno até com 2 a 3cm no longo eixo e altura de até 1cm. Já nos Toros Mandibulares, em cada 10 pacientes, 2 são unilaterais, podendo também ser muito grandes em alguns poucos casos.
O osso dos Toros são totalmente normais ao microscópio e se precisar usar para enxertos em outros locais, pode-se fazer. Pode-se até colocar minimplantes e implantes fixados nestas exostoses quando isto for necessário. Os toros não se malignizam.
Eventualmente, algumas pessoas têm múltiplas exostoses na gengiva superior ou inferior, como se fossem calosidades duras, mas não recebem o nome de Toros, e sim de exostoses vestibulares da maxila ou da mandíbula. São variações da normalidade no crescimento, não precisam ser removidas, apenas se houver razões estéticas ou necessidades terapêuticas em tratamentos reabilitadores, ortopédicos ou ortodônticos.
Em português, a palavra “Toro” deriva do termo latim “Torus”. No plural, em português, o termo passa para Toros, mas no latim é “Tori”. Em português, o termo “torus” não existe!
REFLEXÃO FINAL
O Toro Palatino e os Mandibulares não são neoplasias benignas e nem hiperplasias. São distúrbios dos desenvolvimento que não se malignizam e não requerem tratamento. O portador pode conviver com os Toros, mas caso haja necessidade nos tratamentos odontológicos, ou dificulte a higiene ou a alimentação, e ainda por razões estética e até psicológica, pode se removê-los cirurgicamente.

