Um novo estudo publicado no Journal of Dental Research sugere que problemas dentários comumente associados com fissura labiopalatina podem ser causados por anormalidades nas glândulas salivares e um desequilíbrio de compostos imunes na boca.
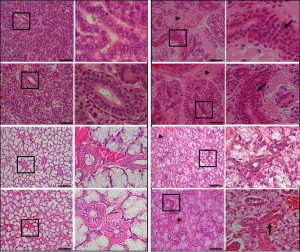
O Dr. Timothy Cox, um pesquisador craniofacial do Seattle Children’s Research Institute e principal autor do estudo, descobriu que os ratos portadores de uma mutação genética que causa a fissura labial e de palato, tiveram problemas em suas glândulas salivares que afetaram o tecido gengival e a saúde bucal.

“Descobrimos que a mutação genética da fissura de lábio e palato também resultou em glândulas salivares anormais”, disse Cox. “O resultado foi uma boca muito ácida e com excesso de bactérias, o que levou a problemas nas gengivas e à cárie dentária mais rapidamente”.
Em pessoas saudáveis, as glândulas salivares excretam saliva com compostos imunológicos protetores e equilibram a acidez na boca. Os pesquisadores descobriram que uma mutação genética comum do lábio leporino resultou em um desenvolvimento anormal dos dutos da glândula salivar, de tal forma que eles não poderiam bombear o líquido e os compostos protetores e imunes na boca.
“Ninguém examinou sistematicamente as glândulas salivares na fissura labial e nos pacientes porque não faz parte da avaliação clínica típica”, disse Cox. “Sabemos que a saliva contém compostos imunológicos protetores que combatem a cárie dentária e os pesquisadores também observaram que algumas crianças com fissura labial ou no palato têm composição salivar diferente. Este é um avanço porque os médicos e dentistas poderiam usar esta pesquisa para desenvolver melhores estratégias para a gestão de saúde bucal em pacientes jovens com o labio leporino.”

No estudo, os pesquisadores ofereceram uma dieta com muito açúcar para ratinhos com e sem a mutação da fissura labiopalatina. Após apenas oito semanas na dieta, os ratos com a mutação tinham quase nenhum dente molar esquerdo, enquanto os ratos sem a mutação tinha apenas uma decadência suave. Assim, os pesquisadores se concentraram no gene IRF6, o gene mais comumente associado com fissura lábiopalatina. Muitos outros genes foram ligados a fissura, e os pesquisadores esperam entender se esses genes adicionais também estão associados ao aumento da cárie dentária.
“Os médicos que tratam crianças com labio leporino observaram há muito tempo que a cárie dentária é um problema e que pode afetar sua qualidade de vida”, disse o Dr. Michael Cunningham, diretor médico do Centro Craniofacial do Seattle Children’s Hospital. “Também pode ser um fardo financeiro para as famílias porque muitas crianças precisam de cuidados dentários extensos e, eventualmente, de cuidados ortodônticos”.
>>> Leia Também: Crianças atendidas por ONG têm células-tronco de dente de leite preservadas
De acordo com os Centros de Controle e Prevenção de Doenças, fissura lábiopalatina é um dos defeitos congênitos mais comuns nos Estados Unidos. Todos os anos, 2.650 bebês nascem com fissura na palatina e 4.440 bebês nascem com fissura labial com ou sem fissura palatina. Os próximos passos na pesquisa incluem o estudo da composição salivar em pacientes com fissura labiopalatina, bem como outros genes associados com fissura labiopalatina para determinar se eles contribuem para o desenvolvimento anormal das glândulas salivares.

“Esperamos que, à medida que a pesquisa avançe, médicos e dentistas possam aplicar as descobertas para cuidar de pacientes com fissura labiopalatina e proteger os seus dentes a partir da primeira infância e na idade adulta”, disse Cox.
Leia o artigo na íntegra em inglês aqui.
Fonte: ScienceDaily


